Κύριο Μέλημα της Διεύθυνσης και του προσωπικού της Μονάδας Βρογχοκυψελιδικού Εκπλύματος (BronchoAlveolar Lavage-BAL) του ΓΝΑ «Σισμανόγλειο-Αμαλία Φλέμιγκ» είναι η παροχή υπηρεσιών υψηλών προδιαγραφών, που διασφαλίζεται από την εφαρμογή ενός ολοκληρωμένου προγράμματος Συστήματος Διαχείρισης Ποιότητας, σύμφωνα με το Διεθνές Πρότυπο ISO 15189:2012.
Βασικός Στόχος της Μονάδας Βρογχοκυψελιδικού Εκπλύματος είναι η εφαρμογή διαδικασιών και σχεδίων δειγματοληψίας, που στηρίζονται σε Διεθνή Πρότυπα ή και σε κοινοτικές και εθνικές κανονιστικές διατάξεις και σε κατευθυντήριες οδηγίες Διεθνών Οργανισμών, οι οποίες διασφαλίζουν τη λήψη αντιπροσωπευτικού δείγματος για τις επακόλουθες δοκιμές.
Δρ Κωνσταντίνα Τσακανίκα
Διευθύντρια Μονάδας Βρογχοκυψελιδικού Εκπλύματος-BAL
Νοσοκομειακή Μονάδα «Σισμανόγλειο ΓΝΑ»
Η Μονάδα Βρογχοκυψελιδικού Εκπλύματος (BAL), σύμφωνα με τον εν ισχύ Οργανισμού του Νοσοκομείου (ΦΕΚ 3475/Β/31.12.2012), με γνωμοδότηση του Κεντρικού Συμβουλίου Υγείας (αρ. απόφασης 5 της 209ης ολομέλειας/19.04.2007), λειτουργεί ως ανεξάρτητη Μονάδα του Εργαστηριακού Τομέα. Πρόκειται δε για τη μοναδική οργανική Μονάδα στον Eλλαδικό χώρο.
Ανταποκρίνεται στις σύγχρονες προδιαγραφές εργαστηρίων, όσον αφορά στην υποδομή, στον κλιματισμό, στον εξαερισμό και στην πρόσβαση.
Η Μονάδα στεγάζεται στον 1ο όροφο του Κτηρίου Ν3 του Νοσοκομείου.
Ταχυδρομική Διεύθυνση :ΓΝΑ «Σισμανόγλειο-Αμαλία Φλέμιγκ» ΝΠΔΔ
Νοσοκομειακή Μονάδα «Σισμανόγλειο»
Μονάδα Βρογχοκυψελιδικού Εκπλύματος-BAL
Τέρμα οδού Σισμανογλείου-151 26 ΜΑΡΟΥΣΙ Αττικής
Τηλ. 213 2058 950 (γραφείο Διευθύντριας) - 213 2058 553 (Εργαστήριο)
e-mail :lavage@sismanoglio.gr

H Μονάδα μετέχει του προγράμματος κύριας και καθημερινής εφημερίας του Νοσοκομείου, με υπηρεσία Μικτής Εφημερίας.
Ώρες Παραλαβής Δειγμάτων:
|
Προέλευση Δείγματος |
Πρωινό ωράριο (ΔΕ-ΠΑ) |
|
Εξωτερικοί ασθενείς Τακτικών Εξωτερικών Ιατρείων |
08.00-10.00 και 12.00-15.00 |
|
Νοσηλευόμενοι ασθενείς |
08.00-10.00 και 12.00-15.00 |
|
Επείγοντα |
Κατόπιν συνεννόησης |
|
Δείγματα από άλλα Νοσοκομεία/Θεραπευτήρια |
08.00-10.00 και 12.00-15.00 |
Η Μονάδα Βρογχοκυψελιδικού Εκπλύματος λειτουργεί καθημερινά από Δευτέρα μέχρι Παρασκευή.
Δε δέχεται δείγματα Σάββατο, Κυριακή και τις επίσημες αργίες.
Προσωπικό Τμήματος & Εξοπλισμός
Υπεύθυνη της Μονάδας Βρογχοκυψελιδικού Εκπλύματος-BAL είναι η Κωνσταντίνα Τσακανίκα, Δρ Κυτταρολόγος, Διευθύντρια κλάδου Ιατρών ΕΣΥ.
Στο Εργαστήριο της Μονάδας υπηρετεί η Τεχνολόγος Ιατρικών Εργαστηρίων Ζαφειρία Γεωργιοπούλου.
ΕΞΟΠΛΙΣΜΟΣ:
Ο εξοπλισμός της Μονάδας είναι πλήρης (ιατροτεχνολογικός και ξενοδοχειακός) και αποτελείται από:
Η Μονάδα συνεργάζεται με όλα τα Πνευμονολογικά Τμήματα, τη Μονάδα Επαγγελματικών Νόσων και Φυματίωσης (με τη συσκευή Millipore ελέγχεται η ύπαρξη και η μέτρηση ινών αμιάντου στο υγρό BAL) , τη Μονάδα Εντατικής Θεραπείας, τα Παθολογικά Τμήματα, την Αιματολογική Κλινική και εν γένει όλα τα Τμήματα του Νοσοκομείου μας, συμβάλλοντας αποτελεσματικά στη θέση διάγνωσης δύσκολων περιστατικών και αυτό φαίνεται από τον τεράστιο όγκο δειγμάτων που δέχεται.
Επίσης, η Μονάδα συνεργάζεται με Νοσοκομεία και Θεραπευτήρια (Δημόσια και Ιδιωτικά) όλης της χώρας, συμπεριλαμβανομένων των Παιδιατρικών Νοσοκομείων (από την νεογνική ηλικία).
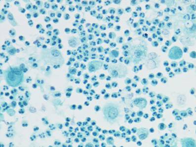
Το BAL αποτελεί μία αποδεκτή διαγνωστική τεχνική (π.χ. κυψελιδική αιμορραγία, ηωσινόφιλος πνεύμονας, κ.α.) στην Πνευμονολογία σε περιπτώσεις Διάχυτων Πνευμονοπαθειών και Επαγγελματικών Νοσημάτων. Προσπάθειες για υποτίμηση της συγκεκριμένης τεχνικής για περιορισμό της χρήσης της μόνο για ερευνητικούς σκοπούς δεν ευσταθούν ούτε υιοθετούνται στην ιατρική βιβλιογραφία.
Η διενέργεια BAL ενδείκνυται σε κάθε ασθενή (ενήλικες, παιδιά) με εικόνα Διάχυτου Πνευμονικού ή Επαγγελματικού Νοσήματος ή στην περίπτωση παρουσίας πνευμονικών σκιάσεων μη διευκρινισθείσης αιτιολογίας στην αξονική τομογραφία, και σε ασθενείς με φυσιολογική ακτινογραφία θώρακος, αλλά κλινική εικόνα που συνηγορεί υπέρ των Διάχυτων και των Επαγγελματικών Πνευμονοπαθειών.
Η εξέταση BAL διαχωρίζεται από το βρογχικό έκπλυμα (Bronchial Washing) το οποίο χρησιμοποιείται για βακτηριολογικές ή κυτταρολογικές μελέτες (αρνητικό - θετικό), που γίνεται από το Βιοπαθολογικό και το Κυτταρολογικό Τμήμα.
A.Διαχυτά Πνευμονικά Νοσήματα

Σαρκοείδωση

Βυριλίωση

Φυματίωση

Εξωγενής Αλλεργική Κυψελιδίτιδα

Κυψελιδίτιδα από Φάρμακα

Πνευμονική Ινωση

Μη Ειδική Διάμεση Πνευμονία (NSIP)

Κυψελιδική Αιμορραγία

Κυψελιδική Πρωτεϊνωση

Ηωσινόφιλος Πνεύμονας

BOOP (Δευτεροπαθής ή Ιδιοπαθής = COP)

Λιποειδής Πνευμονία

Πνευμοκύστη

Βρογχοκυψελιδικό Ca

Αδενο Ca

Λέμφωμα
Β.Διάγνωση Επαγγελματικών Νοσημάτων
(με τη συσκευή Millipore)


Αμιάντωση
Η προ αναλυτική φάση περιλαμβάνει μια σειρά από διαδικασίες που είναι δύσκολο να προσδιοριστούν, επειδή λαμβάνουν χώρα σε διάφορα μέρη και σε διαφορετικές χρονικές στιγμές. Κλασικά η προ αναλυτική φάση περιλαμβάνει όλες τις διαδικασίες από τη στιγμή που υποβάλλεται αίτηση στο Εργαστήριο (Μονάδα BAL), για πραγματοποίηση μιας εξέτασης μέχρι τη στιγμή που το δείγμα είναι έτοιμο για ανάλυση. Σε αυτό το στάδιο όμως μπορεί να συμβαίνουν λανθασμένοι χειρισμοί που επηρεάζουν αργότερα την αναλυτική και την μετα αναλυτική φάση της εξέτασης.
Οι κύριες διαδικασίες που πρέπει να λαμβάνονται υπόψη στην προ αναλυτική φάση είναι η επιλογή της εξέτασης, η προετοιμασία του ασθενή, η προετοιμασία των επαγγελματιών υγείας για τη λήψη, η εκπαίδευση των ασθενών, η λήψη, η αποθήκευση και η μεταφορά του δείγματος.
Τα προ αναλυτικά λάθη μπορεί να αντιπροσωπεύουν έως και το 70% του συνόλου των σφαλμάτων στο Εργαστήριο, με αποτέλεσμα να επηρεάζουν την ποιότητα των παρεχόμενων υπηρεσιών και να αυξάνουν την κατανάλωση πόρων (παράταση χρόνου νοσηλείας, αύξηση φαρμακευτικής δαπάνης, επαναλήψεις εξετάσεων, κ.λπ.).
Πρόκειται για έναν από τους παράγοντες που μπορεί να εξηγήσουν το αυξανόμενο ενδιαφέρον διεθνώς για τον έλεγχο της ποιότητας της προ αναλυτικής φάσης με την εφαρμογή ενός Συστήματος Διασφάλισης Ποιότητας κατά ISO 15189:2012 και κατά ISO 9001:2008.
Διενεργούμενες Εξετάσεις & Κόστος Εξετάσεων
Στη Μονάδα Βρογχοκυψελιδικού Εκπλύματος διενεργούνται οι παρακάτω δοκιμές:
1.BAL με χρώσεις
2.BAL χωρίς χρώσεις
3.Βρογχικές εκκρίσεις (ίνες αμιάντου)
4.Ψήκτρα (ίνες αμιάντου)
5.Πτύελα (ίνες αμιάντου)
6.TransBronchial Needle Aspiration-TBNA (ίνες αμιάντου)
7.Πλευριτικό υγρό (ίνες αμιάντου)
Κόστος Εξετάσεων:
Με τις υπ’ αριθ. 05/20.03.2000 Θ. 21 ΗΔ (5 )και 07/13.05.2002 Θ. 1 ΕΗΔ (6) αποφάσεις του Δ.Σ. του Νοσοκομείου η κοστολόγηση των εξετάσεων του βρογχοκυψελιδικού εκπλύματος (lavage) κοστολογήθηκαν με 100 ευρώ οι απλές εξετάσεις (με συσκευή Millipore για ίνες αμιάντου) και με 200 ευρώ οι εξετάσεις (κυτταρόμετρο ροής και ειδικές χρώσεις PERLS, OIL RED O, BLUE TOLUIDINE, κ.α.).
Εξωτερικός Έλεγχος Ποιότητας & Στατιστικά Στοιχεία
Σκοπός μας είναι η συνεχής βελτίωση της απόδοσης του Εργαστηρίου και ο διεργαστηριακός έλεγχος προς εναρμόνιση των αποτελεσμάτων μεταξύ διαφορετικών Εργαστηρίων και συμμόρφωση με τις απαιτήσεις του Διεθνούς Προτύπου ISO 15189:2012.
Προς τούτο η Μονάδα μετέχει του προγράμματος Εξωτερικού Ελέγχου Ποιότητας (ΕΕΠ) της Ελληνικής Εταιρείας Κυτταρομετρίας, το οποίο ακολουθεί οργανωτικά το πρότυπο του προγράμματος ΕΕΠ του NEQAS (National External Quality Assessment Scheme).
Ο έλεγχος διενεργείται από ανεξάρτητο Εργαστήριο, το οποίο έχει έδρα στο Εργαστήριο Κυτταρομετρίας του Πανεπιστημιακού Γενικού Νοσοκομείου Πατρών. Αποτελεί το Εργαστήριο παρασκευής των δειγμάτων που αποστέλλει δείγματα στα Εργαστήρια που συμμετέχουν στο πρόγραμμα πανελλαδικά.
ΣΤΑΤΙΣΤΙΚΑ ΣΤΟΙΧΕΙΑ:
Το έτος 2013 η Μονάδα παρέλαβε, επεξεργάστηκε και έθεσε διάγνωση σε 638 συνολικά δείγματα υγρού BAL, συμβάλλοντας στη θεραπεία ασθενών με Διάμεσα Πνευμονικά Νοσήματα ή και Επαγγελματικά Νοσήματα.
ΕΡΕΥΝΗΤΙΚΗ-ΣΥΓΓΡΑΦΙΚΗ ΔΡΑΣΤΗΡΙΟΤΗΤΑ- ΕΚΠΑΙΔΕΥΣΗ
(πρόσφατα στοιχεία έτους 2013)
Η Μονάδα Βρογχοκυψελιδικού Εκπλύματος μετέχει του προγράμματος εκπαίδευσης του Αυτοτελούς Τμήματος Ελέγχου Ποιότητας, Έρευνας και Συνεχιζόμενης Εκπαίδευσης, για την εφαρμογή Συστήματος Διαχείρισης Ποιότητας κατά ISA 15189:2012. Οι διαδικασίες έχουν ξεκινήσει από τον μήνα Απρίλιο έτους 2013.
Επί πλέον, συμμετέχει σε ετήσιο πρόγραμμα συνεχιζόμενης εκπαίδευσης στη χρήση του Κυτταρόμετρου Ροής και του Μηχανήματος Πολλαπλών Πρωτοκόλλων Χρώσεων.
Τέλος, για το έτος 2013, μετείχε σε διεθνή και εθνικά Συνέδρια και Ημερίδες, με την ιδιότητα του εκπαιδευτή ή του εκπαιδευόμενου. Συγκεκριμένα:
Α) Διάλεξη με θέμα «Κυτταρολογικά ευρήματα στα Επαγγελματικά Νοσήματα», στο πλαίσιο του εκπαιδευτικού προγράμματος της Θεωρητικής Εκπαίδευσης στην Πνευμονολογία των Ειδικευόμενων Ιατρών στην Ιατρική Εργασίας, σε συνεργασία με την Εθνική Σχολή Δημόσιας Υγείας (ΕΣΔΥ) της Ιατρικής Σχολής του Πανεπιστημίου Αθηνών, Σισμανόγλειο Νοσοκομείο, 18/04/2013.
Β) Παρακολούθηση Ημερίδας με θέμα «Διαπίστευση και Διασφάλιση Ποιότητας στο Μικροβιολογικό Εργαστήριο», Εταιρεία Ελληνικής Μικροβιολογίας και Εργαστηριακής Διάγνωσης, Αθήνα 19/01/2013.
Γ) Παρακολούθηση Ημερίδας με θέμα «Εφαρμογή Μεθοδολογίας Κύκλων Ποιότητας σε Κλινικά Εργαστήρια», Υπουργείο Υγείας, Αθήνα (Νοσοκομείο «ΕΛΕΝΑ ΒΕΝΙΖΕΛΟΥ» 02-04/04/2013.
Δ) St. Michaelidis, K. Tsakanika, et al, “The role of the combined assessment of the Bronchoalveolar Lavage (BAL) and radiological profile in the diagnosis of Chronic Eosinophilic Pneumonia (CEP)» European Respiratory Society, Annual Congress, Barcelona 07-11.09.2013.
Ε) K. Tsakanika, St. Michaelidis, et al, «Retroprospective assessment of Pulmonary Sarcoidosis with the aid of Bronchoalveolar Lavage (BAL) during the past three-year period in a General Hospital» European Respiratory Society Annual Congress, Barcelona 07-11.09.2013.
Στ) Ανακοίνωση Εργασίας: Α. Εγγλεζοπούλου, Δρ Κ. Τσακανίκα, κ.α. «Εφαρμογή Συστήματος Διαχείρισης Ποιότητας στα Εργαστήρια του ΓΝΑ «Σισμανόγλειο-Αμαλία Φλέμιγκ» ΝΠΔΔ, 15ο Συνέδριο Ελληνικής Εταιρείας Management Υπηρεσίας Υγείας, Αθήνα 10-11/10/2013.
Ζ) Μέλος της Επιστημονικής Επιτροπής του 10ου Πανελλήνιου Κυτταρολογικού Συνεδρίου, Ελληνική Κυτταρολογική Εταιρεία, 4-6/10/2013, Αθήνα.
Η) Διάλεξη με θέμα “BAL: Εξέταση με Ειδικό Χαρακτήρα», στο πλαίσιο του 10ου Πανελλήνιου Κυτταρολογικού Συνεδρίου, Ελληνική Κυτταρολογική Εταιρεία, 4-6/10/2013, Αθήνα
Θ) Στ. Μιχαηλίδης, Κ. Τσακανίκα, κ.α. «Ο ρόλος της Συνδυασμένης Αξιολόγησης του Βρογχοκυψελιδικού Εκπλύματος (BAL) και της Ακτινολογικής Εικόνας στη Διάγνωση της Χρόνιας Ηωσινοφυλικής Πνευμονίας (ΧΗΠ), 22ο Πανελλήνιο Πνευμονολογικό Συνέδριο, Αθήνα 05-07/12.2013.
Ι) Στ. Μιχαηλίδης, Κ. Τσακανίκα, κ.α. «Αναδρομική Αξιολόγηση της Πνευμονικής Σαρκοείδωσης με τη Βοήθεια του Βρογχοκυψελιδικού Εκπλύματος κατά την Τελευταία Τριετία σε Γενικό Νοσοκομείο.
Α) Η Μονάδα βραβεύτηκε για τη συμμετοχή της στο 5ο Παγκόσμιο Συνέδριο της Παγκόσμιας Εταιρείας Σαρκοείδωσης και άλλων Κοκκιωματωδών Νοσημάτων με την εργασία “Th-1 cytokines in infectious and non-infectious granulomatous lung diseases”, E. Stagaki, I. Papanikolaou, K. Tsakanika, N. Karagiannidis, V. Polychronopoulos (5th International WASOG Conference on Diffuse Lung Disease, Charleston, South Carolina, USA 25-27/03/2009)
Β) Η Μονάδα καταχωρήθηκε στο Index του Βιβλίου με τίτλο «Interstitial Lung Disease» του συγγραφέως Om P. Sharma MD, FRCP, Master FCCP, Professor of Medicine and Critical Care Medicine, Keck School of Medicine, University of Southern California, Los Angeles, USA. Πρόκειται για το Βιβλίο, που εκτυπώθηκε από τις εκδόσεις Jaypee Brothers Medical Publishers (P) LTD, New Delhi, Panama City, London, 2011. Στα περιεχόμενά του αναφέρονται οι τελευταίες έρευνες, μελέτες και τεχνικές γύρω από την Πνευμονολογία, διεθνώς.
Στα ιστορικά στοιχεία (βλ. σελ. 7), αναφέρεται η ιδιαίτερη συμβολή της τεχνικής του βρογχοκυψελιδικού εκπλύματος (Bronchoalveolar Lavage-BAL) στη διάγνωση διάμεσων πνευμονικών νοσημάτων.
Επίσης στο κεφ. 13ο (σελ. 230-247), δημοσιεύεται άρθρο της Διευθύντριας κας Τσακανίκα και των Ilias C.Papanikolaou και Gunseli Kilnic με τίτλο “Bronchoalveolar Lavage in Diffuse ILD”, όπου αναφέρεται λεπτομερώς η τεχνική και δημοσιεύονται (σελ. 236, 237, 239, 240,241) σχετικές φωτογραφίες χρώσεων Perls, Giemsa, PAS, Papanicolaou, Oil-O-Red και οι διαγνώσεις των ασθενών, που τέθηκαν από τη Μονάδα Βρογχοκυψελιδικού Εκπλύματος.
Το θέμα γνωστοποιήθηκε στο Διοικητικό Συμβούλιο του Νοσοκομείου, το οποίο δια της υπ’ αριθ. 12/24.05.2012 Θ. 28 ΕΗΔ απόφασης εξέφρασε τα συγχαρητήριά του για το έργο και την επιτυχημένη πορεία της Μονάδας, που προβάλει το Σισμανόγλειο στον ελλαδικό και το διεθνή επιστημονικό χώρο.